Nos preocupa el cuidado de nuestros pacientes
Casos de éxito
La salud dental es un pilar fundamental para el bienestar general de las personas. A lo largo del tiempo, se han registrado numerosas historias de individuos cuyas vidas dieron un giro positivo gracias a la mejora de su salud bucal. En este breve recorrido, exploraremos algunos inspiradores casos de éxito en el campo de la odontología, donde sonrisas fueron restauradas y vidas transformadas.
Estas historias nos recordarán el impacto profundo que puede tener una sonrisa saludable, no solo en la salud física, sino también en la autoestima y la calidad de vida de quienes la poseen. Acompáñanos en este viaje hacia el poder transformador de la salud dental."


Caso 1
Belén es una paciente muy alegre que llevaba mucho tiempo sin sonreír tranquila, porque no le gustaba su sonrisa. Tenía unos dientes muy porosos y de un color muy oscuro. Además, sufría un gran desgaste por bruxismo. Tenía que tomar una medicación que le teñía mucho los dientes y al final tomó la decisión de realizarse la rehabilitación que le propusimos.
Se trata de un caso de carillas en el sector anterior e incrustaciones y coronas en el sector posterior.
Caso 2
Este es el caso de nuestra paciente Vanesa, que acudió a la consulta con una corona sobre su diente de un color muy diferente al suyo y desadaptada de la encía. Por ello, le cambiamos la corona metal cerámica que llevaba, por una corona de zirconio.
Realizamos una técnica de tallado BOPT, y tras un periodo en el que conformamos la encía a través de una corona provisional, tomamos las medidas con escáner intraoral.
Estamos muy contentos con el resultado, pero sobre todo con el cambio de actitud de la paciente, porque ha vuelto a sonreir con tranquilidad.


Caso 3
Los bordes incisales tienen un factor estético muy importante, y en ocasiones, se fracturan por traumatismos, al ser una zona del diente mas estrecha y débil.
Este caso se solucionó con una reconstrucción estética de composite, un tratamiento mínimamente invasivo, ya que no tuvimos que tocar el resto del diente para reconstruirlo.
Este tratamiento se recomienda si el paciente ha sufrido un golpe y se le ha partido, o por desgaste.
Caso 4
Gracias a un tratamiento de ortodoncia invisible, el Dr. Áureo Sánchez corrigió los diastemas (espacio entre los dientes) que tenía nuestro paciente.
Los diastemas, esos molestos espacios entre los dientes que habían sido motivo de inseguridad y preocupación durante tanto tiempo, finalmente se convirtieron en cosa del pasado.
Este enfoque personalizado y estético le brindó la confianza que tanto anhelaba durante el proceso, y ahora luce una sonrisa perfectamente alineada y radiante. El compromiso y la destreza del Dr. Áureo Sánchez han transformado por completo su apariencia y autoestima.


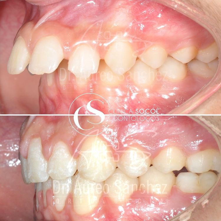
Caso 5
El Dr. Áureo Sánchez realizó el un tratamiento de ortodoncia interceptiva con disyuntor McNamara.
Aunque nos llame la atención la separación entre los dientes en la primera foto, el problema real no era ese. Sino que estaba en la parte posterior, donde el paciente mordía al revés.
En estas etapas tan tempranas tratamos de corregir las discrepancias oseas que existan entre los maxilares. En este caso, el paciente tenía una mordida cruzada posterior, se le colocó este tipo de aparato para expandir el paladar y compensar el crecimiento y así solucionar el problema en la mordida.
Caso 6
Nuestra paciente Mercedes sufrió un tropiezo en la calle, con tan mala suerte de impactar con el incisivo contra el suelo. Este diente se desplazó hacia arriba, quedando impactado. Por supuesto acudió a nuestra consulta inmediatamente después.
Tras realizar el análisis clínico y radiológico, entre el Dr. Diego Socol y Dr. Santiago de Vega, vieron que el diente estaba luxado, no fracturado, con lo cual podía salvarse. Consiguieron reposicionar el diente en su posición original y lo ferulizaron (unieron) a los dientes de al lado. Esperaron a que cicatrizase y realizaron la endodoncia por haberse visto afectado el nervio.
Caso 7
Carla acudió a la clínica para darle una buena solución a su sonrisa. Para ello realizamos 2 tratamientos.
1°. Un blanqueamiento, para alcanzar un color más luminoso de sus dientes.
2°. Una vez logrado un color más claro, realizamos una reconstrucción estética. Reparando un diente fracturado hace muchos años por un traumatismo.
Estamos muy contentos con el resultado, pero sobre todo, con que a Carla le haya gustado y no deje de sonreír.
Caso 8
Luis acudió a la clínica para modificar su dentadura. Conseguimos este resultado a través de un dispositivo de avance mandibular. El tratamiento se desarrolló en dos etapas:
1º Primero se realizó un tratamiento de ortopedia mediante un dispositivo de avance mandibular (Twin Block).
2º Posteriormente una segunda fase con aparatología fija multibrackets.
Caso 9
Paciente con microdoncias (dientes pequeños) y erupción pasiva alterada (la encía cubre al diente y enseñaba mucha encía al sonreír). Se sometió a un tratamiento de implantes, encías y coronas con el que conseguimos mejorar su estética dental.
A la paciente le realizamos una rehabilitación completa superior, con implantes en el sector posterior, ya que le faltaban algunas muelas, tuvimos que hacer un tratamiento de las encías (gingivectomía) para mejorar la estética y ganar superficie para poder realizar las coronas en los dientes anteriores.
Por supuesto, terminamos con una férula de descarga porque la paciente apretaba mucho los dientes y proteger todo el trabajo realizado.
